Sezgisel Çalışma
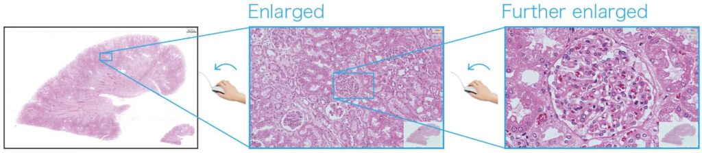
Basit bir fare işlemi ile dijital slayt doku bölümünü bir monitörde gözlemleyebilirsiniz. Fare tekerleğini hareket ettirerek, slaytı herhangi bir yönde hareket ettirmek, görüntüyü odaklamak ve görüntüleme büyütmesini bir mikroskoba benzer bir işlem hissi ile değiştirmek mümkündür.

İngilizce






